مخيخ

الشكل 1a: مخ بشري، ويظهر فيه المخيخ باللون البنفسجي
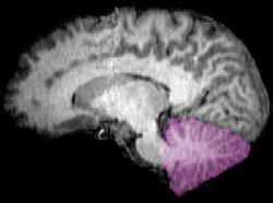
الشكل 1b: صورة تصوير الرنين المغناطيسي تبين منظراً mid-sagittal للمخ البشري، ويبدو فيه المخيخ باللون البنفسجي من , , , http://www.marefa.org/index.php/صورة:Neuro_logo.png
المخيخ Cerebellum هو القسم الكروي الأصغر الذي يقع أسفل نصفي الكرة المخيتين في الدماغ ، يهتم المخيخ بشكل أساسي بوظائف التوازن و تنظيم الوظائف الحركية. يقع أسفل النصفين الكرويين في الجهة الخلفية للمخ ويتركب من فصين أيمن وأيسر يصل بينهما فص ثالث.
http://www.marefa.org/index.php/صورة:CajalCerebellum.jpg
شكل 2: رسم خلايا في مخيخ الدجاج بريشة سانتياگو رامون إ كهال
فهرست
النمو والتطور
التقدم في العمر
يتغير المخيخ البشري مع التقدم في العمر.
صور اضافية

Computed tomography of head, with cerebellum visible at lower part

Lobes

Diencephalon

Scheme showing the connections of the several parts of the brain.

Upper surface of the cerebellum

Under surface of the cerebellum

Sagittal section of the cerebellum, near the junction of the vermis with the hemisphere

Dissection showing the projection fibers of the cerebellum

Scheme of roof of fourth ventricle. The arrow is in the foramen of Majendie.

Dissection showing the course of the cerebrospinal fibers

Diagram showing the positions of the three principal subarachnoid cisternæ

Human cerebellum anterior view

Human brain midsagittal view
الشكل 1a: مخ بشري، ويظهر فيه المخيخ باللون البنفسجي
الشكل 1b: صورة تصوير الرنين المغناطيسي تبين منظراً mid-sagittal للمخ البشري، ويبدو فيه المخيخ باللون البنفسجي من , , , http://www.marefa.org/index.php/صورة:Neuro_logo.png
المخيخ Cerebellum هو القسم الكروي الأصغر الذي يقع أسفل نصفي الكرة المخيتين في الدماغ ، يهتم المخيخ بشكل أساسي بوظائف التوازن و تنظيم الوظائف الحركية. يقع أسفل النصفين الكرويين في الجهة الخلفية للمخ ويتركب من فصين أيمن وأيسر يصل بينهما فص ثالث.
شكل 2: رسم خلايا في مخيخ الدجاج بريشة سانتياگو رامون إ كهال
فهرست
النمو والتطور
التقدم في العمر
يتغير المخيخ البشري مع التقدم في العمر.
صور اضافية
Computed tomography of head, with cerebellum visible at lower part
Lobes
Diencephalon
Scheme showing the connections of the several parts of the brain.
Upper surface of the cerebellum
Under surface of the cerebellum
Sagittal section of the cerebellum, near the junction of the vermis with the hemisphere
Dissection showing the projection fibers of the cerebellum
Scheme of roof of fourth ventricle. The arrow is in the foramen of Majendie.
Dissection showing the course of the cerebrospinal fibers
Diagram showing the positions of the three principal subarachnoid cisternæ
Human cerebellum anterior view
Human brain midsagittal view