reaction
7.2K
الجوائز
1.3K
- تاريخ التسجيل
- 16 جانفي 2009
- المشاركات
- 5,960
- آخر نشاط
- الأوسمة
- 1
أكثر من 20 دراسة علمية تؤكد أن الأضرار الناتجة عن مشاهدة المناظر الجنسية المثيرة تشبه
الإدمان على الكحول والمخدرات بل هي أخطر حيث تتلف أجزء مهمة من الدماغ ....
الإدمان على الكحول والمخدرات بل هي أخطر حيث تتلف أجزء مهمة من الدماغ ....
في دراسة جديدة أجريت من قبل باحثين في جامعة كامبردج Cambridge University وجدت أن دماغ الإنسان الذي ينظر للمحرمات وبخاصة المقاطع الإباحية pornography يسلك سوكاً يشبه دماغ ذلك الذي يدمن المخدرات والخمر.
وتعتبر هذه الدراسة الأولى من نوعها (2013) حيث استخدم العلماء التصوير بالرنين المغنطيسي لأدمغة مجموعة من الشباب المدمنين على مشاهدة أفلام الجنس، إن نتائج الدراسة فاجأت العلماء بخطورة المناظر الجنسية، وضرورة الحد من مشاهدتها!!!
وتقول الدكتورة Dr Valerie Voon لقد وجدنا نشاطاً هائلاً في منطقة في الدماغ تدعى ventral striatum وهي المنطقة المسؤولة عن المكافأة والتحفيز والسعادة (المرجع رقم 1).
تظهر الصور الناتج عن المسح المغنطيسي أن المنطقة المسؤولة عن المكافأة في الدماغ تنشط بشكل غير عادي أثناء رؤية المشاهد الخلاعية، وإن تكرار هذه المشاهد يؤثر على الدماغ وينهكه تماماً بنفس تأثير المخدرات والخمر (المرجع رقم 3).
نصيحة من علماء الغرب: Stay Away from Pornography
في كل ثانية هناك أكثر من 28000 إنسان يدخلون لمواقع إباحية على الإنترنت، والمشكلة أن ثلث هذا العدد من النساء (حسب المرجع رقم 5). هذه الظاهرة تؤثر سلبياً على الدماغ، فبمجرد النظر لمشهد جنسي على الفور يزداد إفراز مادة التستيرون ومادة الدوبامين والأكسيتوسين ويشكل فيضاناً يجتاح الدماغ مما يسبب إرهاقاً لأنظمة عمل الدماغ ويشوش عمليات التذكر والتعلم .. وقد يتلف جزءاً مهماً من خلايا الدماغ!
ولذلك ينصح العلماء بالابتعاد عن مشاهدة المناظر الجنسية.
ولذلك ينصح العلماء بالابتعاد عن مشاهدة المناظر الجنسية.
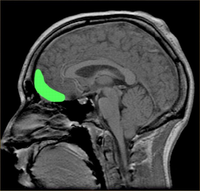
إن إفراز مادة الدوبامين بكثرة من قبل الدماغ أثناء مشاهدة مناظر الجنس، ترهق الدماغ وبخاصة المنطقة الأمامية من الدماغ (الناصية)، حيث هذه المنطقة مهمة في اتخاذ القرار وهي أشبه بالفرامل بالنسبة للسيارة، تصور نفسك تقود سيارة ذات فرامل معطلة، لا شك أن احتمال أن ترتكب حادثاً أمر وارد. هذه المنطقة لها ممرات ترتبط بمنطقة المكافأة في الدماغ وبالتالي تتأثر أثناء مشاهدة أفلام الجنس، وبالنتيجة تتأثر قراراتك وقدرتك على التحكم بنفسك.
مادة الدوبامين ضرورية لنشعر بالسعادة.. هذه المادة يفرزها الدماغ وتشعرنا بالسعادة أثناء حصولنا على المال أو عندما ننجز عملاً ناجحاً. وعندما يدمن الدماغ مشاهدة المناظر الجنسية يكثر إفراز الدوبامين ولكن بعد فترة تتعب الخلايا التي تفرز الدوبامين ويقل إفرازها وتضمر تدريجياً.. مما يجعل الإنسان لا يشعر بالسعادة كما كان من قبل ويبدأ بالبحث عن وسائل أشد إثارة (تماماً مثل مدمن المخدرات) وبالتالي يزداد الضرر ويزداد تلف الخلايا... إنها عملية تدمير حقيقية!
تمتد الأضرار إلى منطقة الناصية من الدماغ ومع مرور الزمن تتأذى هذه المنطقة وتتآكل تدرجياً وتفقد القدرة على اتخاذ القرار الصائب.
لقد أثبتت دراسات سابقة أن الإدمان على المخدرات يسبب تلفاً في المنطقة الأمامية للدماغ، وقد لوحظ أن مدمني الخمر والمخدرات يعانون من انكماش المنطقة الأمامية من أدمغتهم مما يفقدهم السيطرة على تصرفاتهم. ولذلك فإن إدمان النظر للنساء المتبرجات سوف يكون له نفس الأثر على الدماغ وربما أكثر، ولكن غالباً الناس لا يدركون حجم هذا الضرر إلا متأخراً.
الدكتور Eric Nestleوهو عالم أعصاب يؤكد أن إدمان المخدرات يؤثر على الدماغ بل ويعيد تشكيل الدماغ تشكيلاً سيئاً. أما الدكتور Norman Doidge فيقول في كتابه The Brain That Changes Itself فيؤكد أن المشاهد الخلاعية pornography تحدث تغييرات خطيرة في الدماغ، وتجعل من يشاهدها في حالة استنفار دائم وإدمان على المشاهدة من دون سبب، فتجده ينتقل من مشهد لآخر دون توقف... ويزيد احتمال ارتكابه لفعل فاحش بنسبة كبيرة جداً (المرجع 8).
القضية أكبر من مجرد مشاهدة..
فالقضية ليست مشاهدة فقط بل تتطور لتصبح جريمة اغتصاب مثلاً، وهذا ما يحدث غالباً مع مدمني الأفلام الإباحية كما تؤكد الدراسات. فمادة الأوكسيتوسين المسؤولة عن الثقة بين البشر، والتي يتم إفرازها بكثرة أثناء مشاهدة المناظر الإباحية، هذه المادة مسؤولة عن الثقة بين الزوجين، وأثناء الإدمان على مشاهد الجنس يتشكل ما يسمى بالعشق الافتراضي، وبالتالي يختل إفراز هذه المادة ويختل إفراز بعض الهرمونات.. وبالنتيجة تتضرر حياته الاجتماعية أيضاً، وقد تنهار حياته العاطفية، ولذلك هناك دراسات تؤكد أن الأفلام الإباحية مسؤولة عن الكثير من المشاكل الزوجية والعنف الأسري (المرجع 7).
تظهر الصور بالمسح بالرنين المغنطيسي أن المنطقة الأمامية تتآكل وتتضرر كثيراً بنتيجة الإدمان على مشاهدة المناظر الجنسية. (المرجع 12). هذه المنطقة عندما تفقد جزءاً منها فإن سلوك الإنسان يضطرب ويفقد توازنه وينقاد وراء شهواته كالمجنون.. وقد ينتحر أو يرتكب جرائم... (المرجع 23).
أضرار خطيرة لظاهرة الاستمناء (العادة السرية)
في مقالة بعنوان Pornography’s Effects on ***** and Child كيف تؤثر الإباحية على الصغار والكبار، للدكتور Victor Cline يشرح تجربته في علاج الإدمان على المشاهد الجنسية فيقول: عندما يمارس الشاب العادة السرية أو الاستمناء فإنه بمرور الزمن تصبح عملية الجنس لديه افتراضية، أي يعيش في عالم من الخيال بعيداً عن الواقع، وتصبح لديه علاقة الحب أو الزواج عبارة عن ممارسة للجنس لا أكثر ولا أقل، وبالتالي يفقد السعادة تدريجياً، وغالباً ما يفشل في علاقاته الحقيقية وبخاصة الزواج. حيث تزداد شكوكه في زوجته من جهة، ويمارس العلاقات الجنسية سواء بشكل افتراضي من خلال الأفلام أو بشكل حقيقي من خلال الخيانة الزوجية، مما يدمر حياته في المستقبل.
وقد وصل كثير من الباحثين بنتيجة مثل هذه الدراسات إلى أن:
الذي يبتعد نهائياً عن مشاهدة المناظر الإباحية والنساء المتبرجات وممارسة العادة السرية، يحقق مستوى أعلى من السعادة في حياته، ويتمكن من الاستمتاع بحياته وبخاصة المتزوجين بشكل كبير.
الذي يبتعد نهائياً عن مشاهدة المناظر الإباحية والنساء المتبرجات وممارسة العادة السرية، يحقق مستوى أعلى من السعادة في حياته، ويتمكن من الاستمتاع بحياته وبخاصة المتزوجين بشكل كبير.
الأطفال والأفلام الإباحية
إن التأثير الأكثر خطورة يأتي من عالم الأطفال (تحت سن 14 سنة) حيث وجدوا أن هذا السن يتأثر كثيراً بالمشاهد الإباحية حيث تحدث تغيرات دائمة في دماغه، وتؤثر على سلوكه حيث لاحظ العلماء أن نسبة كبيرة من الأطفال الذين شاهدوا أفلام الجنس ينحرفون في سلوكهم في المستقبل (المرجع 9). وبينت الدراسات أن ثلث الأطفال الذين شاهدوا مقاطع إباحية طبقوا شيئاً من الأفعال الخلاعية بعد مشاهدتهم للمقاطع بأيام!
التأثير الأخطر أن الطفل الذي يشاهد هذه الأفلام تحدث تغيرات دائمة في الدماغ ينتج عنها تغير في سلوكه وقناعاته وتصبح ممارسة الجنس من الأشياء الطبيعية والأساسية بالنسبة له في المستقبل،
التأثير الأخطر أن الطفل الذي يشاهد هذه الأفلام تحدث تغيرات دائمة في الدماغ ينتج عنها تغير في سلوكه وقناعاته وتصبح ممارسة الجنس من الأشياء الطبيعية والأساسية بالنسبة له في المستقبل،
وفي مقالة للدكتور Victor B. Cline يؤكد أن مشاهدة المناظر الخليعة يطور سلوكاً شاذاً لدى الناظر، حيث يزيد احتمال أن يرتكب جريمة اغتصاب أو اعتداءات جنسية وتحرش جنسي، وتلصص ومعاكسة أطفال....
ويؤكد أيضاً أن مشاهدة هذه الأفلام أو النظر إلى النساء المتبرجات يؤدي على الإدمان تماماً مثل إدمان المخدرات التي تحتاج لفترة نقاهة وعلاج، وقد لا يمكن علاجها. وإن كثيراً من حالات الاعتداء الجنسي وقعت من أشخاص أدمنوا مشاهدة الجنس. وأسوأ نتائج هذه الظاهرة السيئة هو الطلاق.
يؤكد الباحثون أن الطفل تحت سن 14 عندما ينظر إلى الأفلام الإباحية تحدث تغيرات دائمة في دماغه ويؤثر ذلك على سلوكه في المستقبل، فهذه المشاهد الجنسية تحدد نظرة الطفل إلى الجنس في المستقبل، وتغير سلوكه، وتسبب له أضراراً في الدماغ...
ماذا عن النظر للزوجة؟
تقول الدراسات التي أجريت على الأزواج إن ممارسة الجنس بين الزوجين مفيدة لكليهما، فهي تقوي نظام المناعة لدى الزوجين، وتحسن من أداء الدماغ.. (انظر المقالة في المرجع رقم 11)، فالنظر للزوجة بشهوة وممارسة الحياة الزوجية هو أمر صحي تماماً ولا أضرار منه على الإطلاق!!
بل إن إفراز الدماغ لهرمونات ومواد أخرى مثل الدوبامين و endorphins – oxytocin – وserotonin ومواد أخرى تساهم في زيادة السكون للزوجة وزيادة الإلفة بينهما.
بينما نجد نفس المواد السابقة يتم إفرازها بكميات كبيرة في حالات النظر للنساء الأجنبيات بشهوة، وتسبب تلفاً في الدماغ وأضرار على الدماغ تشبه تلك التي تسببها المخدرات والخمور!!
وفي مقالة (حسب المرجع 13) نجد أن الباحثين يعتبرون أن الإدمان على مشاهدة الجنس هو مرض في الدماغ. وأنه من أصعب أنواع العلاج لأنه يضرب في الصميم. حيث يرد الدماغ على أي منظر إباحي خلال أجزاء قليلة من الثانية (من رتبة الجزء بالألف من الثانية microseconds) وهذا الرد يعتبر الأسرع والأقوى بين أنواع ردود الدماغ. حيث يتطلب تأثر الدماغ بالكوكائين عدة دقائق ولكن عندما ينظر المرء لمنظر إباحي يرد الدماغ بسرعة فيطلق كمية هائلة من المواد الكيميائية.
كمثال على ذلك يفرز الدماغ كمية من مادة أوزتوسين أو مادة الثقة والعاطفة، وهي المادة التي يفرزها دماغ الأم بكثرة أثناء الولادة فتقوي الثقة والعاطفة بينها وبين طفلها (المرجع 13). هذه المادة يتم إطلاقها من قبل الدماغ في الحالتين: أثناء المعاشرة الجنسية مع الزوجة، وتكون عندما مفيدة للدماغ لأنها تحقق الترابط الفعلي بين الزوج والزوجة وتزيد العاطفة والثقة مما ينشط الدماغ بشكل إيجابي.
في الحالة الثانية يتم إطلاق مادة أوزتوسين في حالة المشاهدة للمناظر الإباحية، ولكن في هذه الحالة لا يوجد ترابط عاطفي حقيقي مما يترك فراغاً عاطفياً وتشويشاً في الدماغ وتصبح هذه المادة خطراً على الدماغ بعد أن كانت صحية في حالة الزوجة.
يعتبر العلماء المنطقة الأمامية من الدماغ أو Frontal Loob مثل المكابح (الفرامل) بالنسبة للسيارة، فعندما يكثر الإنسان من مشاهدة المناظر الجنسية، فإن هذه المنطقة المسؤولة عن القيادة والتحكم تتعب وتتلف أجزاء مهمة منها تماماً مثل تلف فرامل السيارة، فتصبح حالة الإنسان وكأنه يقود سيارة بسرعة هائلة دون توقف ومن دون فرامل... ماذا ستكون حاله؟ بينما في حالة الزواج فإن هذه المنطقة تنشط وتنمو وتساعد الإنسان على الإبداع واتخاذ القرارات السليمة.. والنجاح في الحياة!!
الوظائف العقلية تختل أثناء مشاهدة المناظر الإباحية
ويقول الباحث Gordon S. Bruin بعد ممارستي لعلاج الإدمان على الأفلام الإباحية لمدة عشرين عاماً لاحظتُ أن مشاهدة الأفلام الإباحية هو مرض حقيقي مثله مثل الإدمان على المخدرات (المرجع 13).
وفي تجربة علمية تم تحفيز مركز السعادة في الفئران باستمرار فأدى ذلك لإطلاق مواد كيميائية بغزارة وبالنتيجة ماتت الفئران. كذلك الإنسان عندما يحفز مركز السعادة في دماغه باستمرار يؤدي ذلك لإفراز المواد المسؤولة عن السعادة بشكل مستمر حيث يجهد المخ كثيراً .. طبعاً الدماغ يفعل هذا على حساب الوظائف الأخرى مثل الذاكرة والتفكير واتخاذ القرار... أي أن جميع الوظائف العقلية تختل بسبب الإدمان على مشاهدة المقاطع الجنسية.
أظهرت دراسة أجريت عام 2002 على مدمني الكوكائين وجود تلف في بعض أجزاء الدماغ وبخاصة في المنطقة الأمامية، (المرجع 16) كذلك في دراسة عام 2004 تبين أن الدماغ يخسر جزءاً من وزنه بسبب الإدمان على المخدرات (المرجع 17)... ويمكن القول إن نفس الشيء ينطبق على الإدمان على المشاهد الإباحية (المرجع 18).
الزواج ظاهرة صحية بعكس الزنا
إن مشاهدة الأفلام الإباحية تقود غالباً لممارسة الزنا بهدف إشباع مركز السعادة في الدماغ، لأن هذا المركز بعد فترة لم يعد يقتنع بمجرد المشاهدة النظرية، فيحفز صاحبه للتطبيق العملي لما شاهده. ولكن وبعد ممارسة الزنا لم يتحقق الارتباط العاطفي الذي ينشده الدماغ فيسعى لخلق المزيد من العلاقات الجنسية ولكن دون جدوى، فيؤدي ذلك لإرهاق جزء كبير من الخلايا وتلفها تدريجياً.
الزواج هو الحل المثالي
لاحظ العلماء أن الدماغ لديه القدرة على الشفاء الذاتي بعد التوقف عن مشاهدة الأفلام الإباحية، فيعيد بناء الخلايا التالفة ويعيد تشكيل نفسه مما يساهم في منح الإنسان السعادة الطبيعية وبخاصة مع الزوجة. فقد وجد العلماء أن الإنسان مبرمج عاطفياً للارتباط مع الزوجة الحقيقية حيث تحدث تغيرات دائمة في الدماغ، هذه التغيرات تعزز الثقة والعاطفة بين الزوجين.
والنتيجة العلمية وحسب الدراسات الموثقة تقول: إن الزواج يفيد خلايا الدماغ وينشطها إيجابياً، ويساعد على الإبداع، وينمي المنطقة الأمامية (الناصية) ويزيد القدرة على الإنتاج والعمل واتخاذ القرار السليم.. أما الزنا والإدمان على الجنس يدمر ويتلف خلايا الدماغ ويرهق بقية أجزائه ويضعف الذاكرة وبقية العمليات الإدراكية.
الزواج يحمي من السرطان حسب جامعة هارفارد Harvard University (المرجع رقم 20)، والزواج هو الأفضل للأطفال (حسب جريدة ديلي ميل البريطانية 19/12/2008) المرجع رقم 21. والزواج وسيلة لتحسين الدخل وزيادة معدل الإنتاج (حسب التايم الأمريكية المرجع 22). والزواج حسب تقرير ل CNN يطيل العمر، وينمي الروح الاجتماعية (حسب المركز القومي لإحصاءات الصحة)...
ويقول أخصائي علم النفس السريري، كيت سكوت، من "جامعة أوتاغو" في نيوزيلندا: تشير دراستنا إلى أن رابط الزوجية يوفر الكثير من الفوائد للصحة النفسية لكل من الرجل والمرأة. فالمتزوجون أكثر صحة ونظامهم المناعي أقوى ومقاومتهم للأمراض أفضل ...
يقول العلماء (حسب المرجع 15) إن الدماغ مبرمج ليفرز مواد كيميائية تشعر الإنسان بالسعادة في حالة تناول الأكل أو ممارسة الجنس أو الحصول على مكافأة، ولكن هذه المواد يفرزها الدماغ بكميات كبيرة في حالة شرب الكحول أو المخدرات أو مشاهدة الأفلام الإباحية، ولكن في حالة الطعام أو الحصول على جائزة أو مال أو المعاشرة الزوجية فإن هذه المواد تقترن بشيء حقيقي (الشريك الحقيقي وهو الزوجة مثلاً) فيكون إفراز هذه المواد مفيداً للدماغ لأنه حقق الغرض منها.
أما في حالة الأفلام الجنسية فيتم إفراز المواد فيشعر بالسعادة دون تحقيق هدف واقعي حيث لا يوجد شريك حقيقي، وبالتالي يصاب الدماغ بنوع من التشويش والإرهاق لأنه يطلب المزيد من السعادة دون تحقيق شيء فعلي فيعتقد الدماغ أنه يجب إفراز المزيد من المواد للبقاء في مستوى عال من السعادة، مما يؤدي للإدمان على مشاهدة أفلام الجنس.
العلاج الإسلامي لهذه الظاهرة
1- القرآن أمر بقطع دابر هذه الظاهرة من جذورها عندما أمر بغض البصر. يقول تعالى: (قُلْ لِلْمُؤْمِنِينَ يَغُضُّوا مِنْ أَبْصَارِهِمْ وَيَحْفَظُوا فُرُوجَهُمْ ذَلِكَ أَزْكَى لَهُمْ إِنَّ اللَّهَ خَبِيرٌ بِمَا يَصْنَعُونَ) [النور: 30].
والنبي كذلك أمر بغض البصر نهائياً عن هذه المشاهد.. فالنبي أمرنا بالابتعاد عن الفاحشة، دعونا نستمع للنصيحة الشريفة التي أطلقها النبي صلى الله عليه وسلم قبل أربعة عشر قرناً.. وأصبح العلماء اليوم ينادون بها لحماية الدماغ والنظام المناعي والتمتع بصحة أفضل...
قال النبي صلى الله عليه وسلم: (يا علي لا تتبع النظرة النظرة، فإنما لك الأولى وليست لك الآخرة) [رواه أبو داود وحسنه الترمذي]...
2- أمر القرآن بالابتعاد عن الزنا وأخبرنا بأنه أسوأ طريق يمكن أن يسلكه الإنسان. قال تعالى: (وَلَا تَقْرَبُوا الزِّنَا إِنَّهُ كَانَ فَاحِشَةً وَسَاءَ سَبِيلًا) [الإسراء: 32].
3- حتى بعد ارتكاب الفاحشة والخطأ وعدم السيطرة على النفس، لم يتركنا القرآن بل أوجد لنا العلاج من خلال الاستغفار وعدم الإصرار، قال تعالى: (وَالَّذِينَ إِذَا فَعَلُوا فَاحِشَةً أَوْ ظَلَمُوا أَنْفُسَهُمْ ذَكَرُوا اللَّهَ فَاسْتَغْفَرُوا لِذُنُوبِهِمْ وَمَنْ يَغْفِرُ الذُّنُوبَ إِلَّا اللَّهُ وَلَمْ يُصِرُّوا عَلَى مَا فَعَلُوا وَهُمْ يَعْلَمُونَ) [آل عمران: 135].
4- أمرنا الله تعالى بالزواج لضمان السعادة والسكون والاستقرار، بل اعتبر أن الزواج معجزة وآية تتحقق بها الحياة المستقرة والسكون والطمأنينة، قال تعالى: (وَمِنْ آَيَاتِهِ أَنْ خَلَقَ لَكُمْ مِنْ أَنْفُسِكُمْ أَزْوَاجًا لِتَسْكُنُوا إِلَيْهَا وَجَعَلَ بَيْنَكُمْ مَوَدَّةً وَرَحْمَةً إِنَّ فِي ذَلِكَ لَآَيَاتٍ لِقَوْمٍ يَتَفَكَّرُونَ) [الروم: 21].
وأخيراً ..
هل اقتنعت عزيزي القارئ أن الله عندما حرم النظر إلى النساء المتبرجات قد أراد لنا الخير وليضمن لنا الصحة؟ وأن الله تعالى عندما أباح الزواج إنما ليضمن لنا الحياة المطمئنة والسعادة الحقيقية؟ فالحمد لله على نعمة الإسلام...
ــــــــــــ
بقلم عبد الدائم الكحيل
ــــــــــــ
بقلم عبد الدائم الكحيل
المراجع
1- http://www.huffingtonpost.co.uk/2013/09/22/pornography-addiction_n_3971551.html
2- http://www.thesundaytimes.co.uk/sto/news/uk_news/Society/article1317209.ece
3- http://www.independent.co.uk/life-style/health-and-families/health-news/pornography-addiction-leads-to-same-brain-activity-as-alcoholism-or-drug-abuse-study-shows-8832708.html
4- http://www.neuroscience.cam.ac.uk/news/article.php?permalink=21d8a33c8b
5- http://www.superscholar.org/features/ten-ways-to-keep-your-brain-healthy-in-college/
6- Dr. Victor Cline : Pornography's Effects on *****s and Children, http://www.scribd.com/doc/20282510/Dr-Victor-Cline-Pornography-s-Effects-on-*****s-and-Children
7- http://www.salvomag.com/new/articles/salvo13/13hilton.php
8- http://www.normandoidge.com/normandoidge.com/MAIN.html
9- http://www.protectkids.com/effects/harms.htm
10- http://guardmarriage.com/threats-to-marriage/pornography/pornographys-effects-on-*****s-and-children
11- http://www.netnanny.com/learn_center/article/175/
12- http://www.ncbi.nlm.nih.gov/pmc/articles/PMC3050060/
13- Understanding Why Pornography Addiction is a Brain Disease, http://innergold.hubpages.com/hub/Pornography-Addiction-is-a-Brain-Disease
14- Can pornography use become an actual brain addiction?, http://salifeline.org/can-pornography-use-become-an-actual-brain-addiction/
15- http://salifeline.org/porn-is-a-drug/
16- Teresa R. Franklin, Paul D. Acton, Joseph A Maldjian, Jason D. Gray, Jason R. Croft, Charles A. Dackis, Charles P. O’Brien, and Anna Rose Childress, “Decreased Gray Matter Concentration in the Insular, Orbitofrontal, Cingulate, and Temporal Cortices of Cocaine Patients,” Biological Psychiatry (51)2, January 15, 2002, 134-142.
17- Paul M. Thompson, Kikralee M. Hayashi, Sara L. Simon, Jennifer A. Geaga, Michael S. Hong, Yihong Sui, Jessica Y. Lee, Arthur W. Toga, Walter Ling, and Edythe D. London, “Structural Abnormalities in the Brains of Human Subjects Who Use Methamphetamine,” The Journal of Neuroscience, 24(26) June 30 2004;6028-6036.
18- M. Bourke, A. Hernandez, The ‘Butner Study’ Redux: A Report of the Incidence of Hands-on Child Victimization by Child Pornography Offenders. Journal of Family Violence 24(3) 2009, 183-191.
19- Pornography addiction, http://www.ncbi.nlm.nih.gov/pmc/articles/PMC3050060/
20- http://www.dailymail.co.uk/health/article-2430365/Marriage-improves-cancer-survival-rate-20-BETTER-chemotherapy.html
21- 1. Labour finally admits married parents ARE best for children, http://www.dailymail.co.uk/news/article-1097845/Labour-finally-admits-married-parents-ARE-best-children-all.html
22- http://arabic.cnn.com/2009/scitech/9/23/Benefits.Marriage/index.html
23- http://clicks.parsely.com/v2/redirect?from=related&to=http://www.livescience.com/42199-lobotomy-definition.html&apikey=livescience.com
2- http://www.thesundaytimes.co.uk/sto/news/uk_news/Society/article1317209.ece
3- http://www.independent.co.uk/life-style/health-and-families/health-news/pornography-addiction-leads-to-same-brain-activity-as-alcoholism-or-drug-abuse-study-shows-8832708.html
4- http://www.neuroscience.cam.ac.uk/news/article.php?permalink=21d8a33c8b
5- http://www.superscholar.org/features/ten-ways-to-keep-your-brain-healthy-in-college/
6- Dr. Victor Cline : Pornography's Effects on *****s and Children, http://www.scribd.com/doc/20282510/Dr-Victor-Cline-Pornography-s-Effects-on-*****s-and-Children
7- http://www.salvomag.com/new/articles/salvo13/13hilton.php
8- http://www.normandoidge.com/normandoidge.com/MAIN.html
9- http://www.protectkids.com/effects/harms.htm
10- http://guardmarriage.com/threats-to-marriage/pornography/pornographys-effects-on-*****s-and-children
11- http://www.netnanny.com/learn_center/article/175/
12- http://www.ncbi.nlm.nih.gov/pmc/articles/PMC3050060/
13- Understanding Why Pornography Addiction is a Brain Disease, http://innergold.hubpages.com/hub/Pornography-Addiction-is-a-Brain-Disease
14- Can pornography use become an actual brain addiction?, http://salifeline.org/can-pornography-use-become-an-actual-brain-addiction/
15- http://salifeline.org/porn-is-a-drug/
16- Teresa R. Franklin, Paul D. Acton, Joseph A Maldjian, Jason D. Gray, Jason R. Croft, Charles A. Dackis, Charles P. O’Brien, and Anna Rose Childress, “Decreased Gray Matter Concentration in the Insular, Orbitofrontal, Cingulate, and Temporal Cortices of Cocaine Patients,” Biological Psychiatry (51)2, January 15, 2002, 134-142.
17- Paul M. Thompson, Kikralee M. Hayashi, Sara L. Simon, Jennifer A. Geaga, Michael S. Hong, Yihong Sui, Jessica Y. Lee, Arthur W. Toga, Walter Ling, and Edythe D. London, “Structural Abnormalities in the Brains of Human Subjects Who Use Methamphetamine,” The Journal of Neuroscience, 24(26) June 30 2004;6028-6036.
18- M. Bourke, A. Hernandez, The ‘Butner Study’ Redux: A Report of the Incidence of Hands-on Child Victimization by Child Pornography Offenders. Journal of Family Violence 24(3) 2009, 183-191.
19- Pornography addiction, http://www.ncbi.nlm.nih.gov/pmc/articles/PMC3050060/
20- http://www.dailymail.co.uk/health/article-2430365/Marriage-improves-cancer-survival-rate-20-BETTER-chemotherapy.html
21- 1. Labour finally admits married parents ARE best for children, http://www.dailymail.co.uk/news/article-1097845/Labour-finally-admits-married-parents-ARE-best-children-all.html
22- http://arabic.cnn.com/2009/scitech/9/23/Benefits.Marriage/index.html
23- http://clicks.parsely.com/v2/redirect?from=related&to=http://www.livescience.com/42199-lobotomy-definition.html&apikey=livescience.com
آخر تعديل بواسطة المشرف: